Dientes Faltantes (Agenesias Dentarias)

La patología

Las agenesias dentarias significan ausencia congénita de una o varias piezas.

En general la pieza dentaria más afectada es el incisivo superior seguido de segundo premolar y tercer molar.

Se diagnostican a edades tempranas cuando en etapa de recambio, la pieza dentaria que debería aparecer en ese momento no lo hace y persiste el diente caduco.

En este caso se debe indicar una radiografía para poner en evidencia la ausencia real de dicha pieza dentaria o la demora en la erupción por otras causas.

Caso Clínico

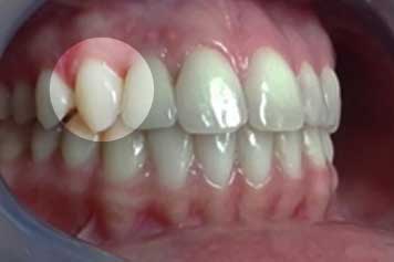
Paciente joven que consulta por agenesia (ausencia) de incisivo lateral superior.
Se plantea tratamiento de ortodoncia, y posterior colocación de implante reponiendo la pieza ausente.

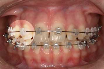
Etapa 1

Tratamiento con ortodoncista, que busca generar el espacio necesario para la correcta ubicación de la pieza ausente.

Implante por Agenesia Dentaria Implante por Agenesia Dentaria

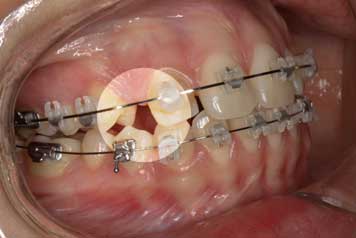
Etapa 2

Planificación quirúrgica del caso, y colocación de implante que repone incisivo lateral.

Implante por Agenesia Dentaria Implante por Agenesia Dentaria

Siguiente →