Sangrado de encías
La patología
Esta es una patología muy común y en la mayoría de los casos se debe a deficiencias en el cepillado de dientes.
En la mayoría de los casos, una limpieza profunda en el consultorio acompañada de una adecuada higiene luego de las comidas resuelve el problema.
Caso Clínico
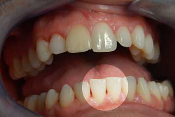
Paciente de 27 años consulta por control rutinario y sangrado de encía.
Refiere en sus antecedentes sangrado al cepillado.
Durante el examen clínico se detecta abundante presencia de sarro en el sector antero inferior
Los síntomas
En condiciones de inadecuada higiene, ya sea por cantidad de veces de cepillado al día o por una técnica de cepillado incorrecta, es común la formación de sarro supragingival.
Tanto el sarro como la presencia de placa microbiana (biofilm) acumulada, generan inflamación gingival que se manifiesta clínicamente por sangrado.
El sangrado suele ser provocado cuando se realiza el cepillado o al pasar el hilo dental.
En algunos casos de inflamación muy avanzada puede haber sangrado durante la masticación o al mínimo traumatismo de la encía.
En general la persona tiende a no cepillar esa zona porque al hacerlo le sangra, pero eso incrementa más la inflamación por mayor acumulación de placa microbiana.
La solución
Justamente lo que se debe hacer es mejorar las condiciones de higiene, incorporar utilización de hilo dental y enjuagues bucales, y por supuesto consultar con su odontólogo.
Probablemente esté necesitando una profilaxis bucal como en el caso que se muestra en la imagen anterior.
Dos o tres días después el sangrado tiende a desaparecer.

Obsérvese luego de la profilaxis y detartraje los espacios interdentarios libres de sarro.
Es normal el sangrado durante el acto odontológico de profilaxis y detartraje cuando hay inflamación gingival.

